HOME > 鼻から胃カメラ検査(経鼻内視鏡検査) > 胃カメラ症例
胃カメラ症例
当院で発見された症例の一部をご紹介致します。
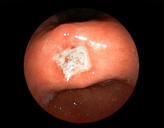
症例1:胃潰瘍(37才、男性)
①胃潰瘍(Stage A1)
健診:胃レントゲン検査で、胃角部ニッシェを指摘され当院受診。
胃角部小弯に、深くて大きな、大きさ約10mmの胃潰瘍(stage 1)
があり、潰瘍底は一部白苔はみ出しを認める。エソメプラゾールマグネシウム水和物投薬で治療開始しました。

(通常画像)

(FICE画像)

(インジゴカルミン散布画像)

(FICE+インジゴカルミン散布画像)
②胃潰瘍(Stage H1)・・治療後18日目
胃角部小弯の潰瘍。潰瘍辺縁は平滑で、白苔は部分的に薄い箇所もあり、全周性に再生上皮を認める。

(通常画像)

(FICE画像)

(インジゴカルミン散布画像)

(FICE+インジゴカルミン散布画像)
胃潰瘍(Stage S1)・・治療後5ヶ月
潰瘍の中心に白苔はなく、わずかに陥凹する潰瘍面に発赤が残る再生上皮が覆い尽くす(赤色瘢痕)。集中皺襞がなだらかに中心に延びている。→ ヘリコバクター・ピロリ感染を認めたため、除菌治療で駆除しました。

(通常画像)

(FICE画像)

(インジゴカルミン散布画像)

(FICE+インジゴカルミン散布画像)
症例2:胃がん(66才男性)
術後胃(B-Ⅱope magen:十二指腸潰瘍手術)。吻合部の後壁側、軽度陥凹の白色病変を認める。生検:Group 5、Signent-ring cell carcinoma(印環細胞癌)と診断[早期胃癌]。高次医療機関へ紹介となり、残胃全摘術(リンパ節郭清)を行いました。

(通常画像)

(インジゴカルミン散布画像)

(インジゴカルミン散布画像)
症例3:十二指腸潰瘍(53才男性)
1年前からの慢性胃痛を主訴に当院受診。十二指腸球部前壁に深くて大きな潰瘍(Stage A1)があり、潰瘍底は厚い白苔に覆われ、一部白苔のはみ出しを認める。潰瘍周囲粘膜は浮腫を伴っている。ボノプラザンフマル酸塩投薬で治療開始しました。

(通常画像)

(FICE画像)

(インジゴカルミン散布画像)

(FICE+インジゴカルミン散布画像)
症例4:ヘリコバクター・ピロリ感染胃炎(42才、男性)
萎縮性胃炎
胃角部小弯に、粘膜表面の萎縮・菲薄化を認める。

(通常画像)

(FICE画像)

(インジゴカルミン散布画像)

(FICE+インジゴカルミン散布画像)
表層性胃炎
穹隆部に、小発赤斑を認める。
→ 2次除菌治療まで行い、ピロリ菌駆除に成功しました。

(通常画像)

(FICE画像)

(インジゴカルミン散布画像)

(FICE+インジゴカルミン散布画像)
症例5:胃腺腫(84才女性)
胃角部に、大きさ10mm強のなだらかな粘膜隆起を認める。生検:Tubularadenoma with moderate atypia.Group 3。経過観察中。

(通常画像)

(FICE画像)

(インジゴカルミン散布画像)

(FICE+インジゴカルミン散布画像)
症例6:胃粘膜下腫瘍(83才女性)
胃体下部小弯後壁側に、粘膜下腫瘍隆起あり。経過観察中。

(通常画像)

(FICE画像)

(インジゴカルミン散布画像)

(インジゴカルミン散布画像)
症例7:十二指腸ポリープ(41才男性)
十二指腸乳頭部近傍に炎症性ポリープを認める。経過観察中。

(通常画像)

(通常画像)
症例8:食道カンジダ症(80才女性)
上部~中部食道にかけて、白濁した小隆起の全周性の群集を認める。ミコナゾール投薬で治療を開始しました。

(通常画像)

(FICE画像)
症例9:食道裂孔ヘルニア(84才女性)
胃からの反転観察像で、EGJおよび胃粘膜が食道側への滑脱を認める。

(通常画像)
症例10:バレット食道(66才男性)
食道胃接合部(EGJ)と扁平円柱上皮接合部(SCJ)の間に、柵状血管を認める。ショートバレット食道(SSBE)と診断。

(通常画像)

(FICE画像)
症例11:胃キサントーマ(86才女性)
前庭部に微細な黄色顆粒の集簇を認める。

(通常画像)

(FICE画像)
症例12:食道乳頭腫(43才男性)
下部食道に光沢のある白色の有茎性の小隆起を認める。

(通常画像)

(通常画像)
